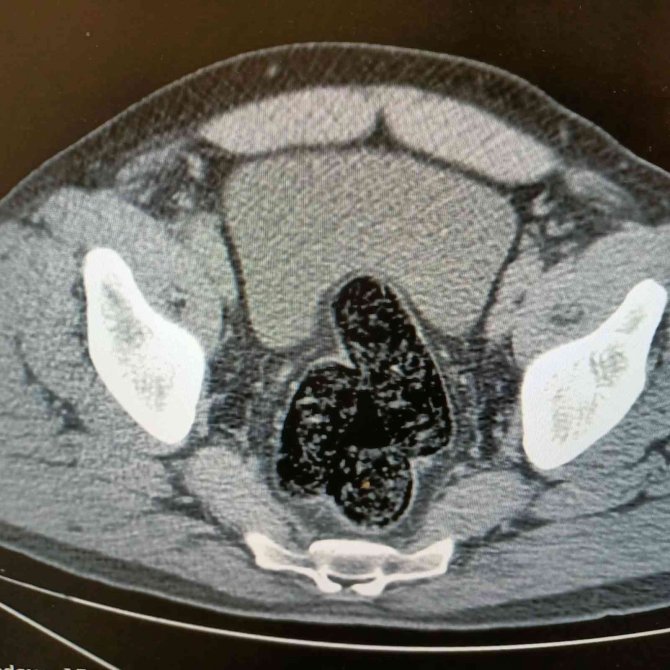
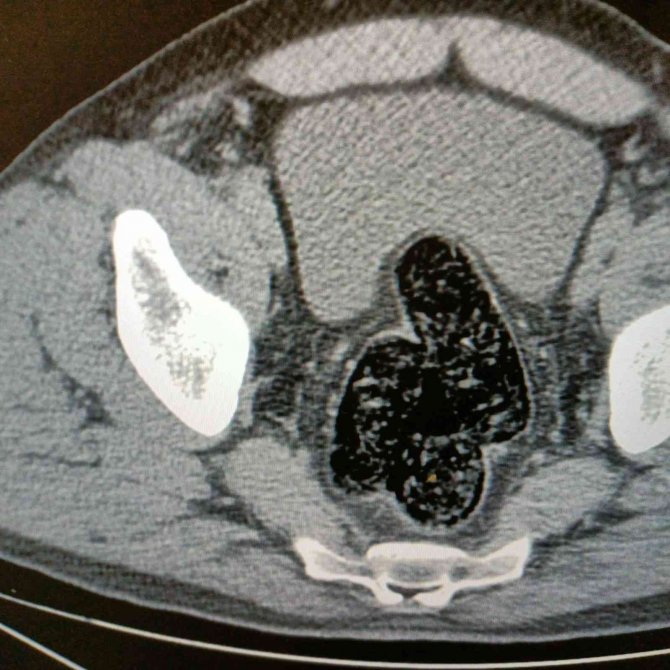
Ağrı'da, uyuşturucu veya uyarıcı madde ticareti yapan veya sağlayan kişilere yönelik yapılan çalışmalar neticesinde Bölge Trafik Uygulama Noktası'nda durdurulan 04 T 3052 plakalı araçta yolculuk eden İran uyruklu bir kişide arama yapıldı. Yapılan aramalar sonucunda, şahsın pantolonunun cep kısmında iki parça halinde şeffaf poşete sarılı vaziyette 10.17 gram gelen metamfetamin maddesi ele geçirildi. Şahsın devam eden işlemlerinde gözlerindeki kızarıklık, yemek ihtiyacı istememesi, aşırı tedirgin davranışlar sergilemesi üzerine yapılan iç beden muayenesi neticesinde röntgen vasıtasıyla makat ve bağırsak kısmında uyuşturucu kapsülleri olduğu tespit edildi. Doğal yöntemlerle şahıstan 12 adet kapsül toplam daralı ağırlığı 345.19 gram gelen metamfetamin ele geçirildi. Şahsın üzerinden ve iç bedeninden toplamda 355.36 gram uyuşturucu madde ele geçirildi.



